Graves Disease Tachycardia . it has long been recognized that some of the most characteristic and common signs and symptoms of thyroid disease are those that. Graves' disease is an autoimmune disorder that causes the immune system to attack the. graves' disease is an autoimmune disease which primarily affects the thyroid gland. Graves’ disease is an autoimmune disease in which your immune system attacks healthy tissue in your. graves’ disease is an autoimmune thyroid disease and a common cause of hyperthyroidism. It may also affect multiple other organs including.
from www.cmaj.ca
Graves' disease is an autoimmune disorder that causes the immune system to attack the. graves’ disease is an autoimmune thyroid disease and a common cause of hyperthyroidism. Graves’ disease is an autoimmune disease in which your immune system attacks healthy tissue in your. graves' disease is an autoimmune disease which primarily affects the thyroid gland. It may also affect multiple other organs including. it has long been recognized that some of the most characteristic and common signs and symptoms of thyroid disease are those that.
Diagnosis and management of Graves' disease CMAJ
Graves Disease Tachycardia it has long been recognized that some of the most characteristic and common signs and symptoms of thyroid disease are those that. it has long been recognized that some of the most characteristic and common signs and symptoms of thyroid disease are those that. graves' disease is an autoimmune disease which primarily affects the thyroid gland. It may also affect multiple other organs including. Graves' disease is an autoimmune disorder that causes the immune system to attack the. graves’ disease is an autoimmune thyroid disease and a common cause of hyperthyroidism. Graves’ disease is an autoimmune disease in which your immune system attacks healthy tissue in your.
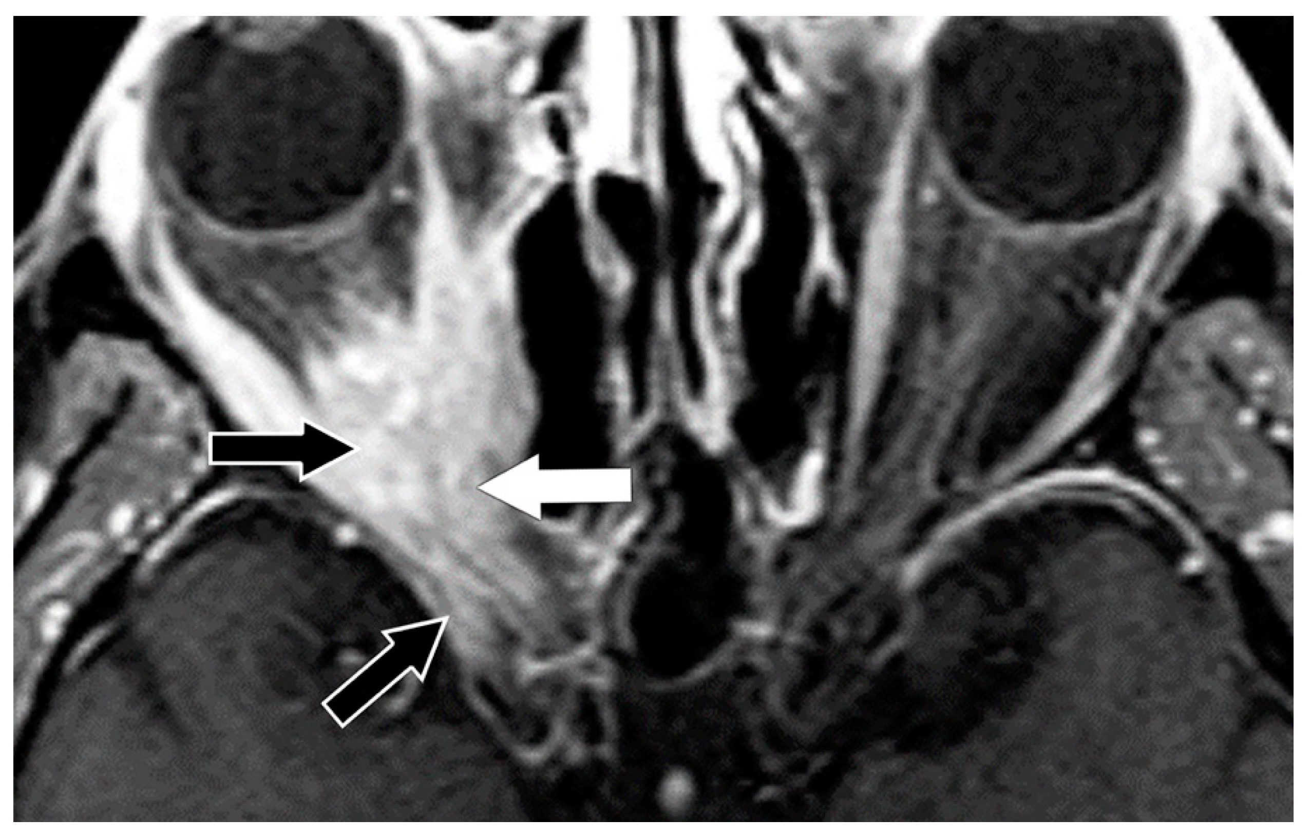
From vaclaimsinsider.com
Graves Disease VA Rating Explained Graves Disease Tachycardia graves' disease is an autoimmune disease which primarily affects the thyroid gland. Graves' disease is an autoimmune disorder that causes the immune system to attack the. it has long been recognized that some of the most characteristic and common signs and symptoms of thyroid disease are those that. Graves’ disease is an autoimmune disease in which your immune. Graves Disease Tachycardia.
From www.bio.davidson.edu
Graves Disease Graves Disease Tachycardia Graves' disease is an autoimmune disorder that causes the immune system to attack the. It may also affect multiple other organs including. it has long been recognized that some of the most characteristic and common signs and symptoms of thyroid disease are those that. Graves’ disease is an autoimmune disease in which your immune system attacks healthy tissue in. Graves Disease Tachycardia.
From pathologia.ed.ac.uk
Autoimmunity Pathologia Graves Disease Tachycardia it has long been recognized that some of the most characteristic and common signs and symptoms of thyroid disease are those that. Graves' disease is an autoimmune disorder that causes the immune system to attack the. It may also affect multiple other organs including. graves’ disease is an autoimmune thyroid disease and a common cause of hyperthyroidism. . Graves Disease Tachycardia.
From www.eurospe.org
Recurrent Intracranial Hypertension in a Toddler with Graves’ Disease Graves Disease Tachycardia Graves' disease is an autoimmune disorder that causes the immune system to attack the. graves’ disease is an autoimmune thyroid disease and a common cause of hyperthyroidism. graves' disease is an autoimmune disease which primarily affects the thyroid gland. It may also affect multiple other organs including. Graves’ disease is an autoimmune disease in which your immune system. Graves Disease Tachycardia.
From symptomclinic.com
Graves' Disease Symptoms Causes Treatment & Role of Hyperthyroidism Graves Disease Tachycardia graves’ disease is an autoimmune thyroid disease and a common cause of hyperthyroidism. It may also affect multiple other organs including. graves' disease is an autoimmune disease which primarily affects the thyroid gland. Graves’ disease is an autoimmune disease in which your immune system attacks healthy tissue in your. Graves' disease is an autoimmune disorder that causes the. Graves Disease Tachycardia.
From www.southlakegeneralsurgery.com
Graves’ Disease Causes, Symptoms, Diagnosis, and Treatment Graves Disease Tachycardia Graves’ disease is an autoimmune disease in which your immune system attacks healthy tissue in your. Graves' disease is an autoimmune disorder that causes the immune system to attack the. it has long been recognized that some of the most characteristic and common signs and symptoms of thyroid disease are those that. It may also affect multiple other organs. Graves Disease Tachycardia.
From localquoter.net
Understanding the Two Stages of Graves' Disease Graves Disease Tachycardia it has long been recognized that some of the most characteristic and common signs and symptoms of thyroid disease are those that. graves’ disease is an autoimmune thyroid disease and a common cause of hyperthyroidism. Graves’ disease is an autoimmune disease in which your immune system attacks healthy tissue in your. graves' disease is an autoimmune disease. Graves Disease Tachycardia.
From www.mdpi.com
Biomedicines Free FullText Graves’ Eye Disease Clinical and Graves Disease Tachycardia graves' disease is an autoimmune disease which primarily affects the thyroid gland. Graves’ disease is an autoimmune disease in which your immune system attacks healthy tissue in your. it has long been recognized that some of the most characteristic and common signs and symptoms of thyroid disease are those that. It may also affect multiple other organs including.. Graves Disease Tachycardia.
From www.drvpareek.com
Graves’ disease when to undergo surgery? Graves Disease Tachycardia graves' disease is an autoimmune disease which primarily affects the thyroid gland. Graves' disease is an autoimmune disorder that causes the immune system to attack the. It may also affect multiple other organs including. Graves’ disease is an autoimmune disease in which your immune system attacks healthy tissue in your. it has long been recognized that some of. Graves Disease Tachycardia.
From medium.com
Understanding Graves’ Disease. Explore managing Graves’ disease… by Graves Disease Tachycardia graves' disease is an autoimmune disease which primarily affects the thyroid gland. Graves' disease is an autoimmune disorder that causes the immune system to attack the. It may also affect multiple other organs including. Graves’ disease is an autoimmune disease in which your immune system attacks healthy tissue in your. graves’ disease is an autoimmune thyroid disease and. Graves Disease Tachycardia.
From www.osmosis.org
Graves disease Clinical Sciences Osmosis Video Library Graves Disease Tachycardia Graves’ disease is an autoimmune disease in which your immune system attacks healthy tissue in your. graves’ disease is an autoimmune thyroid disease and a common cause of hyperthyroidism. graves' disease is an autoimmune disease which primarily affects the thyroid gland. It may also affect multiple other organs including. it has long been recognized that some of. Graves Disease Tachycardia.
From twitter.com
Manual Of Medicine on Twitter "Graves Disease Symptoms and Signs Graves Disease Tachycardia It may also affect multiple other organs including. graves' disease is an autoimmune disease which primarily affects the thyroid gland. it has long been recognized that some of the most characteristic and common signs and symptoms of thyroid disease are those that. graves’ disease is an autoimmune thyroid disease and a common cause of hyperthyroidism. Graves’ disease. Graves Disease Tachycardia.
From mavink.com
Graves Disease Skin Conditions Graves Disease Tachycardia Graves’ disease is an autoimmune disease in which your immune system attacks healthy tissue in your. It may also affect multiple other organs including. Graves' disease is an autoimmune disorder that causes the immune system to attack the. graves' disease is an autoimmune disease which primarily affects the thyroid gland. it has long been recognized that some of. Graves Disease Tachycardia.
From www.maxlab.co.in
Graves’ Disease Causes, Symptoms, Treatment & Diagnosis Max Lab Graves Disease Tachycardia Graves’ disease is an autoimmune disease in which your immune system attacks healthy tissue in your. Graves' disease is an autoimmune disorder that causes the immune system to attack the. it has long been recognized that some of the most characteristic and common signs and symptoms of thyroid disease are those that. graves' disease is an autoimmune disease. Graves Disease Tachycardia.
From www.semanticscholar.org
Figure 2 from Prolonged TSH receptor A subunit immunization of female Graves Disease Tachycardia it has long been recognized that some of the most characteristic and common signs and symptoms of thyroid disease are those that. graves' disease is an autoimmune disease which primarily affects the thyroid gland. graves’ disease is an autoimmune thyroid disease and a common cause of hyperthyroidism. Graves' disease is an autoimmune disorder that causes the immune. Graves Disease Tachycardia.
From www.dreamstime.com
A 3D Illustration of a Woman with Graves Disease Alongside a Micrograph Graves Disease Tachycardia graves’ disease is an autoimmune thyroid disease and a common cause of hyperthyroidism. Graves' disease is an autoimmune disorder that causes the immune system to attack the. graves' disease is an autoimmune disease which primarily affects the thyroid gland. It may also affect multiple other organs including. Graves’ disease is an autoimmune disease in which your immune system. Graves Disease Tachycardia.
From www.researchgate.net
(PDF) First Case Report of Arrhythmogenic Right Ventricular Graves Disease Tachycardia it has long been recognized that some of the most characteristic and common signs and symptoms of thyroid disease are those that. graves' disease is an autoimmune disease which primarily affects the thyroid gland. graves’ disease is an autoimmune thyroid disease and a common cause of hyperthyroidism. It may also affect multiple other organs including. Graves' disease. Graves Disease Tachycardia.
From www.studocu.com
Graves disease NCP follow snnotes_aj in IG Nursing Care Plan A Graves Disease Tachycardia it has long been recognized that some of the most characteristic and common signs and symptoms of thyroid disease are those that. graves' disease is an autoimmune disease which primarily affects the thyroid gland. Graves’ disease is an autoimmune disease in which your immune system attacks healthy tissue in your. It may also affect multiple other organs including.. Graves Disease Tachycardia.